Hodgkin-lymphoma (HL)
- Összes lymphoma 10%-a
- Klasszikus (cHL) -> többség
- Nodular sclerosis: fiatal felnőttek, esetek 70%-a
- Mixed cellularity: idősek, virus+
- Lymphocyta-gazdag: ?, ritka
- Lymphocyta-szegény: idősek, virus+, nagyonritka (<1%)
- Nodularis lymphocyta-predomináns (NLPHL) -> indolens NHL-re hasonlít
- Nagy sikertörténet: gyógyulás >85%
- Bimodális megjelenés
- 20 és 80as években
- EBV és HIV növeli a hajlamot
Kórélettan
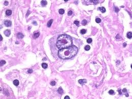
- Hodgkin-Reed-Sterngberg sejt (HRS)
- Nagy, nagy citoplazma, több mag
- PAX-5+, CD15+, CD30+, CD19-, CD20-
- Nagy, nagy citoplazma, több mag
- Tumor-microenviroment
- Tumorsejtek <1%-a HRS, maradék gyulladásos infiltrátum
- Citokin, stb. -> protektív környzet
- Genetikai hiba miatt PD-L1 , így immunválasz
Klinikum
- Tünetek
- Lap -> ált. cervicalis, supraclavicularis, axillarisan
- Mediastinalis gyakori, sokszor első jel (nodularis sclerosisban főleg)
- Splenomegalia
- B tünet
- FUO/ Pel-Ebstein láz (napok/hetekig láz majd nincs láz periódikusan)
- Alkohol utáni fájdalomas nycs
- Pruritus, erythema nodosum, nephrosis, ITP, paraneoplasias cerebellaris degenratio
- Lap -> ált. cervicalis, supraclavicularis, axillarisan
- Diagnózis
- Labor, PET/CT, DD, stb.
- Süllyedést itt nézik tényleg
- Labor, PET/CT, DD, stb.
- Stádium
- Ann-Arbor szerint
- I 1 db nycs érint
- II 2+ db nycs a rekesz azonos oldalán
- III 2+ db nycs a rekesz ellentétes oldalán
- III1 Lép, a coeliakia vagy portalis nycs
- III2 Paraaortikus, iliacalis vagy mesenterialis nycs
- IV Más szerveket is érint
- A - nincs B tünet
- B - van B tünet
- E - extranodalis érintettség
- X - bulky tumor (>10cm)
- Prognózis
- I-II -> kedvező/nemkedvező korai
- bulky, >3 nycs, We , extranodalis kedvezőtlen
- III-IV -> előrehaladott
- Prognostic Score alapján
- I-II -> kedvező/nemkedvező korai
- Ann-Arbor szerint
Kezelés
- Cél a gyógyulás
- Korai
- ABVD -> doxorubicin, bleomycin, vinblastine, dacarbazine
- 2-4 ciklus + Sugár
- Közben PET/CT
- ABVD -> doxorubicin, bleomycin, vinblastine, dacarbazine
- Előrehaladott
- 6 ciklus ABVD ± sugár
- brentuximab vedotin + AVD
- anti-CD30 ADC
- BEACOPP is van, de nagyon toxikus
- Relapsus
- autoSCT
- Salvage terápia
- ICI (pembrolizumab, nivolumab)
- CAR-T
- Magas gyógyulási ráta -> sok toxikus ártalom
- Secunder malignitások (akut leukaemia, solid tumor)
- Kardiotox
- Infertilitás
Nodularis lymphocyta-predomináns (NLPHL)
- <5%, indolensebb
- Popcorn sejt, ami CD20+
- Richter-transzformáció gyakori
- Korai stádiumban lokális sugár elég
- Későbbi stádiumban R-CHOP vagy ABVD