Hemoglobinopathia
Hemoglobin
- 2 különböző globinlánc pár (2x2) + 4 db hem
- HbF
- 𝛼2γ2
- 6-8. gesztációs hét => 6 hónapos kor
- HbA
- 𝛼2β2
- Felnöttkorban a >95%
- HbA1c egy nonenzimatikus glikolizáció
- Minden globinlánc belül töltéssemleges -> hemet védi oxidációtól
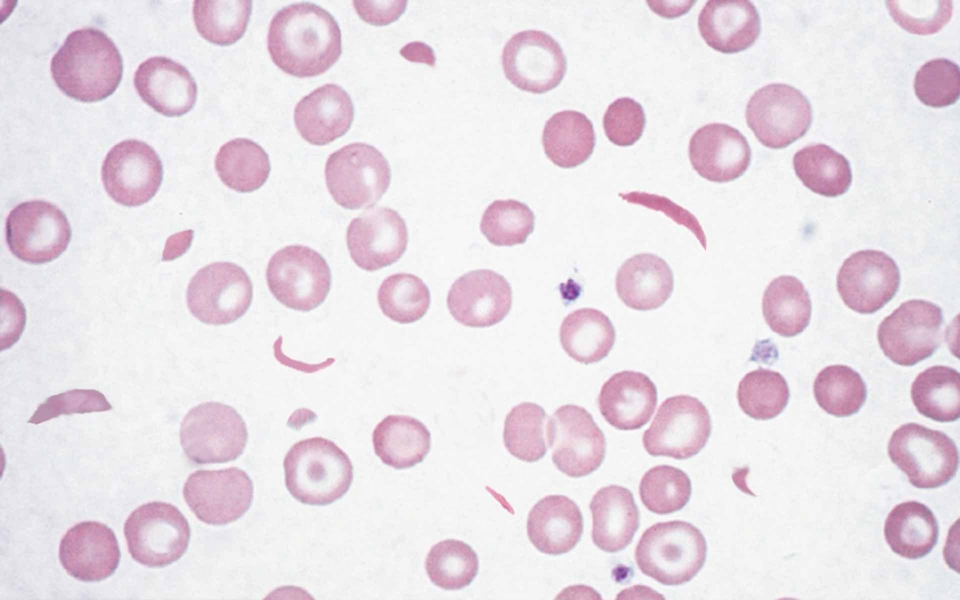
- Heterogén betegségcsoport ahol megjelenik a HbS
- Sarlósejtes anaemia
- Leggyakoribb
- Homozigóta sarlósejtes mutáció
- α2βs2
- HbSS
- Sarlósejtes hajlam
- Heterozigóták
- HbSA
- Kevert Hbs/HbC heterozigózita (HbSC betegség)
- α2βc2
- Sarlósejtes anaemia
- Többtízezer éves mutáció
- Eredetileg afrikában
- Heterozigóták malária ellen relatív rezisztensek
Kórélettan
- HbS polymerizálódik, ha deoxygenált -> felveszi a sarló alakot, bikonkáv helyett
- Sok alkalom után irreverzibilisen sarló alakú marad
- Vasoocclusio, hemolysis és gyulladást okoznak
- Élettartam <20 nap

Klinikum
- Ha csak heterzigóta Hb és MCV normális
- CKD, DVT, stroke, lépinfartkus risk
- Betegségtől függően Hb , MCV
- Akut chest syn, epekő, osteonecrosis, stroke, nephropathia, vasculopathia, lébfekély, priapismus, stb.
- Általában fájdalom az első tünet
- Láb, mellkas, stb.
Akut fájdalom
- Napok, hetekig évente párszor, de akár krónikusan is
- Végtagok, mellkas hirtelen előzmény nélküli szimmetrikusan
- Nincs specifikus teszt rá -> anaemia + leukocytosis gyakori
- MOF és halál is kialakulhat
- Acut chest sy
- Pneumonia szerű
- Mellkasi fájdalom, köhögés, láz, hypoxia, infiltrátum jellmező
- Leggyakoribb szövődmény
- Akár ARDS, MOF is kialakulhat
- Hátterében embolus, infekció, thrombosis stb.
- Pneumonia szerű
- Osteonecrosis
- Általában csípőben
- Krónikus fájdalommal jár
Terápia
- hydroxyurea -> HbF
- voxelotor, crizanlizumab
- SCT
- Génterápia
- Hb-t felépítő AS zavar
- 𝛼 vagy β lánc
- Egyikből kevés van => másik felhalmozódik
- Globin precipitátumok képződnek
- Erythroblast károsodik (ineffektív erythropoesis)
- 𝛼 vagy β lánc
- Malária ellen protektív a heterozigóta
- Minor béta a leggyakoribb Mo.-n
-
- Szérum vas -/
- TIBC -
- TSAT
- Ferritin -/
- RDW -
- Szérum vas -/
β-thalassemia
- Mediterrán területen gyakori
- Intermedia, ha major de nem transfúzió dep
- Tünetek
- Minor
- Enyhe/nincs anaemia
- Microcytosis
- Nincs reticulocytosis
- Major
- Van hemolyticus anaemia, reticulocytosis és céltábla sejt
- Komplikációk általában vastoxicitás miatt
- Splenomegali, növ zavarok, szív, tüdő, stb stb.
- Minor
- Diagnózis
- Kenetben céltábla sejtek
- Hb elektroforézis -> HbA2
- Genetika
- Kezelés
- Transzfúzió
- Vaskeláció (dexferroxamin)
𝛼-thalassemia
- Főleg Ázsiában
- Tünetek
- Hordozó:
- Ha 1-2 gén esik ki
- Microcytosis
- Nincs vashiány és HbA2
- HbH betegség:
- Ha 3 gén esik ki
-
- reticulocytosis
- HbH (β4) vagy Hb Bart (γ4)
- Hb Bart sy:
- Ha 4 gén esik ki -> fotelis halál
- Hordozó:
- Kenetben céltábla sejtek lehetnek