Burkitt-lymphoma (BL)
- Felnőttkorban ritka, de gyerekkori NHL 30%-a
- Nagyon gyorsan nő
- Kevesebb mint 24 óránként duplázódik
- Főleg fiatal férfiak
- Fajtái
- Endémiás (Afrikai)
- Állkapocs/Arccsont tumorként kezdődik
- Extranodalis helyekre terjes (KIR, csv, here, stb.)
- EBV+
- Non-endémiás
- Abdominálisan kezdődik
- Ascites, csv, KIR, vese, here, stb.
- EBV-
- Immundeficiencia assz
- Nycs-kat érint, akut leukaemia szerű
- Endémiás (Afrikai)
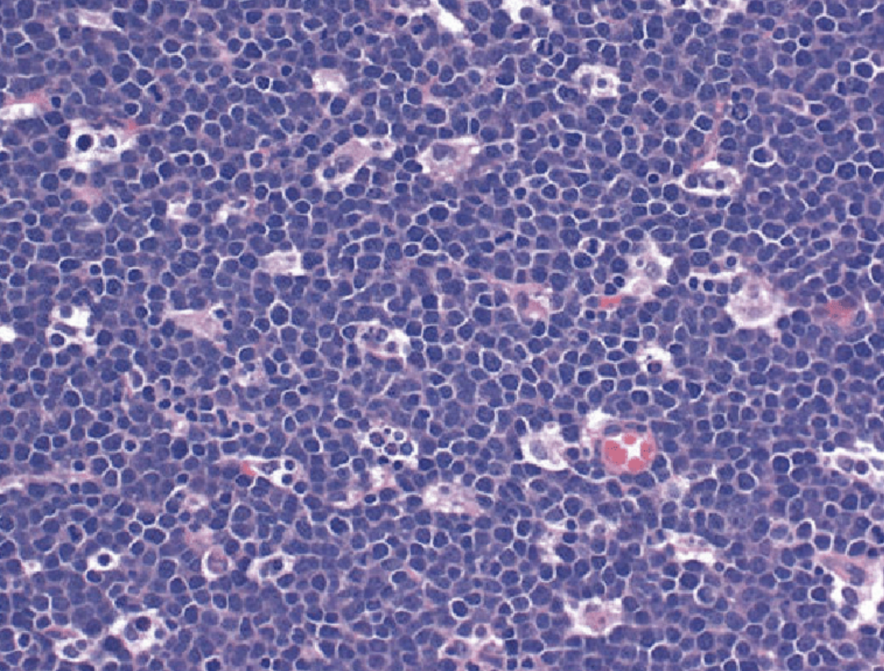
Kórélettan
- Homogén, közepes méretű B sejtek
- Kerek mag, sok magvacska, basophil plazma
- Reaktív macrophagok tumorsejtek között
- => starry sky
- CD19+, CD20+, sIg+, CD10+, Bcl2-
- Ki-67 ~100%
- t(8,14) MYC
Kezelés
- Kifejezetten kemoérzékeny
- Rövid, intenzív multiagent kemo, de R-CHOP nem elég
- cyclophosphamid mindenképpen
- Rövid, intenzív multiagent kemo, de R-CHOP nem elég
- KIR kemoprofilaxis kötelező
- Minél hamarabb elkezdeni!
